Upcoming System Maintenance

Notice:Promega will be performing essential system updates January 21–25.

Order processing and shipping will pause starting January 21 at 4:00 PM CST and resume on January 26.
Please plan to order in advance for any products needed during this timeframe.

Please contact Customer Service with any questions.
Phone: (608) 274-4330
Toll-Free Phone: (800) 356-9526
Email: custserv@promega.com
Hours: 7am – 6pm, CST, Monday-Friday

Promega Notes

Explore research trends based on Promega technologies, read customer stories and make your life in the lab a little easier with technical articles.

New: Frequently Asked Questions (FAQ) for popular products.

Feature Article

key stages in protac mediation

Developing Effective Degrader Compounds

This review discusses the kinetics of targeted protein degradation and summarizes the key types of degrader compounds being studied in drug discovery.

More Feature Stories

Research Highlights

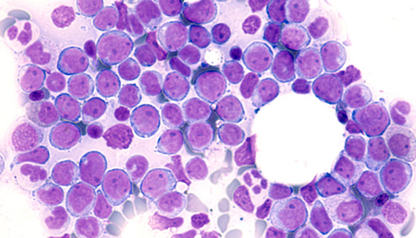
acute myeloid leukemia cells

Innovative Evaluation of Selinexor and JQ1 Synergy

The study tested a combination of Selinexor, a selective XPO1 inhibitor, and JQ1, a BET bromodomain inhibitor, in acute myeloid leukemia.

More Research Highlights

Customer Spotlight

Interviews and case studies featuring novel ways in which our customers are using Promega products

Dr. Richardson’s team used NanoBiT® PPI technology to evaluate potential drug candidates in live cells.

More Customer Spotlights

Cartoon Lab

A humorous look at life in the lab by scientist Ed Himelblau

Himelblau Cartoon 105 July 2022
Cartoon Lab Archives

Publications Featuring Promega

Recent publications that used Promega products in their research.

View All on PubMed

Looking for more articles?

Search the Archives