Upcoming System Maintenance

Notice:Promega will be performing essential system updates January 21–25.

Order processing and shipping will pause starting January 21 at 4:00 PM CST and resume on January 26.
Please plan to order in advance for any products needed during this timeframe.

Please contact Customer Service with any questions.
Phone: (608) 274-4330
Toll-Free Phone: (800) 356-9526
Email: custserv@promega.com
Hours: 8am-5pm CST, Monday-Friday

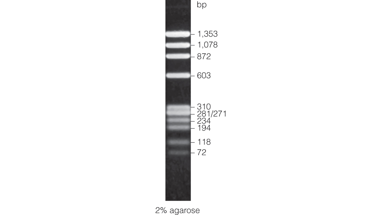
BenchTop ΦX174 DNA/HaeIII Markers

customize-this-small
View information on global supply logistics

Eleven DNA Fragments of 72–1,353bp

  • Store at room temperature (22–25°C)
  • Premixed with loading buffer; ready to load onto agarose gels
  • Load 5μl/lane
  • Now ships at ambient temperature
  • Intended for Laboratory Use (GPR) in the United States. Outside of the United States, this product is intended for research use only unless otherwise stated

Size

Catalog number selected: G7511

$ 202.00
Your price:
Add to Cart
This product is discontinued
Add to Helix
This product is available under our Early Access program - Learn More
This product is available under our Catalog (FT) program - Learn More
BenchTop ΦX174 DNA/HaeIII Markers
250μl
$ 202.00
Your price: Log in

BenchTop DNA Markers offer the convenience of storage at room temperature (22–25°C) as well as the capability of direct loading onto agarose gels. The BenchTop DNA Markers are supplied in a stabilizing solution of 1X Blue/Orange Loading Dye, making the markers ready to load.

The BenchTop ΦX174 DNA/HaeIII Markers have 11 phenol-extracted, ethanol-precipitated DNA fragments ranging in size from 72bp to 1,353bp.

Now shipping at ambient temperature. Learn more about the quality testing in the white paper.

Download the White Paper

Specifications

What's in the box?

Item Part # Size

BenchTop ΦX174 DNA/HaeIII Markers

G751A 1 × 250μl

Certificate of Analysis

Search by lot number

Use Restrictions

For Laboratory Use. Outside of the United States, this product is intended for research use only unless otherwise stated.

Storage Conditions

HH

Let's find the product that meets your needs.

Talk to a Scientist

scientist-uk-angus

Angus

UK